Se ti sei perso la prima parte clicca qui
Facciamo un breve riassunto su cosa sia la relazione centrica! La relazione centrica indica la posizione corretta del condilo articolare all’interno della fossa articolare.
Sì, se non hai letto l’articolo precedente probabilmente ti sembrerà arabo. Basta che clicchi qui per avere chiari tutti i concetti di basi!
OK! Hai ripassato tutto? Partiamo?
Come si valuta una discrepanza di relazione centrica?
Una valutazione accurata durante la prima visita è il primo passo per comprendere la natura del problema e scegliere il trattamento più indicato.
La discrepanza tra relazione centrica e occlusione centrica si rileva solitamente in visita, in cui attraverso una manipolazione della mandibola, si riesce a definire la miglior posizione possibile per la chiusura dei denti e per il posizionamento dell’articolazione.
Per poter rendere questo evento oggettivo, si registra la posizione dei denti e la posizione dell’articolazione, attraverso strumenti specifici. Ne esistono di numerose e di diverse tipologie. LA fortuna è che al giorno d’oggi esistono moderne tecnologie che ci permettono di ottenere queste informazioni in maniera rapida, efficiente e poco invasiva.
Vuoi saperne di più su queste tecnologie? ti consiglio di leggere questo articolo o di guardare questo video.

Il concetto di tutto questo discorso però è semplice, per poter fare una diagnosi accurata è necessario eseguire una visita e delle indagini diagnostiche specifiche ed appropriate. Sulla base del risultato diagnostico è possibile definire un trattamento specifico!
Questo rappresenta il momento più delicato e difficile per il medico, infatti una volta definita la diagnosi, il trattamento per la risoluzione della discrepanza di relazione centrica diventa più facile.
Alla fine dell’articolo andremo a vedere alcuni esempi di problemi di questo tipo che si manifestano già in età di sviluppo.
Resta con me ancora qualche minuto e vedrai che ne varrà la pena, ti insegnerò anche un esercizio miracoloso per contenere le problematiche di natura articolare e muscolare!
Possibili trattamenti della discrepanza di relazione centrica
Come abbiamo già anticipato nell’articolo precedente, il problema di natura articolare e muscolare è un problema comune per tutti le articolazioni del corpo, l’articolazione temporo-mandibolare gode di una peculiarità: è l’unica articolazione del corpo che si muove in tutti e tre i piani dello spazio.
Ma quale è il modo migliore per curare una problematica muscolare e/o articolare?
SUPER: la fisioterapia, lo so mi dirai che sembra scontato o banale oppure che non hai mai sentito di un fisioterapista che si occupa di queste problematiche.
No problem!
Anzi, per fortuna!
Vuol dire che non hai mai avuto questo genere di problemi.
Fisioterapia
Ma tornando a noi, si risolvono solo con la fisioterapia? La maggior parte dei problemi di relazione centrica si risolvono con la fisioterapia.
La fisioterapia è magica, il solo problema è che deve essere eseguita in maniera regolare, sia durante la fase critica della problematica, ma anche e soprattutto durante la fase di mantenimento, altrimenti il problema rischi di manifestarsi ancora.
E ancora.
E ancora.
La fisioterapia funziona benissimo. Richiede però costanza più o meno per tutto l’arco della vita.
Gli esercizi da eseguire sono diversi a seconda della diagnosi e del problema. Ma se mi segui fino alla fine dell’articolo te ne insegnerò uno che si può applicare sempre.
Se non stai più nella pelle puoi scrollare fino alla fine!
Per fortuna esistono altri trattamenti possibili, quello più famoso ed importante è il trattamento occlusale.
Trattamento occlusale
Il trattamento occlusale è il più conosciuto per il trattamento di problematiche di natura di relazione centrica e articolare. Si distinguono in trattamenti reversibili e irreversibili.
Quelli reversibili si caratterizzano dalla presenza di un elemento rimovibile (solitamente un bite) che quando è presente cambia l’assetto di posizionamento della mandibola.
Quelli irreversibili sono invece associati ad un cambiamento della posizione (trattamento ortodontico) o della forma dei denti (trattamento ricostruttivo-protesico). Solitamente prima di arrivare al trattamento irreversibile, si passa per una fase reversibile.
Esistono inoltre, una altra classe di trattamenti per la gestione delle problematiche di relazione centrica: i trattamenti con farmaci.
Farmaci
I farmaci che vengono utilizzati per queste problematiche sono di diversa natura, a seconda della tipologia di problematica che si deve affrontare. Il concetto secondo me più importante da tenere in considerazione è che per risolvere o gestire queste problematiche il farmaco è utile per la gestione acuta del problema, ma non deve essere assunto per una gestione cronica. La gestione cronica delle problematiche di relazione centrica deve essere fatta in maniera diversa, attraverso le soluzioni offerte precedentemente.
Breve riassunto delle tipologie di trattamento
- Fisioterapia: esercizi specifici per rafforzare muscoli e articolazioni.
- Terapia farmacologica: utile nelle fasi acute per ridurre dolore e infiammazione.
- Trattamento occlusale: utilizzo di un bite o di un trattamento ortodontico per correggere la posizione dei denti e riequilibrare l’occlusione.
A che età si manifesta una discrepanza relazione centrica e masticazione?
La discrepanza occlusale può insorgere a tutte le età, ma è più frequente dopo la crescita completa della dentatura permanente. Tuttavia, oggi si osserva sempre più spesso anche nei bambini.
Perchè accade?
Principalmente a causa di uno sviluppo non corretto della dentatura e delle ossa. Questo è spesso dovuto a:
• Scarsa funzione masticatoria
• Problemi respiratori (respirazione orale)
• Alterazioni nella deglutizione
Uno sviluppo osseo insufficiente può portare i denti a posizionarsi in modo errato, causando precontatti e costringendo la mandibola a scivolare (di lato, in avanti o indietro) per trovare una posizione stabile.

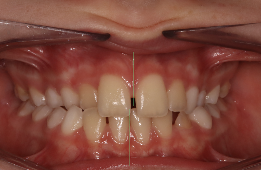
Un esempio: il morso crociato
Un tipico esempio di discrepanza è il morso crociato. Prima di diventare una malocclusione evidente, il morso crociato passa attraverso una fase in cui i denti non si incastrano bene e le ossa si adattano per cercare il massimo contatto dentale.
Se si interviene precocemente, quando le ossa sono ancora plastiche, si possono ottenere ottimi risultati con tecniche semplici e veloci.

Nella foto qui di fianco è evidente che alcuni denti dell’arcata superiore sono più all’interno rispetto a quelli dell’arcata inferiore.
Il risultato è che la mandibola si posiziona in maniera deviata rispetto alla sua posizione naturale e questo determina l’insorgenza di discrepanze in relazione centrica.
Fortunatamente nella maggior parte dei casi è asintomatico.
Però la correzione è necessaria per impedire uno sviluppo alterato delle ossa, dei denti e delle articolazioni.
Questo è l’esempio più semplice e più diffuso all’interno della popolazione generale, ne esistono molti altri, ma non voglio tediarti troppo.
Ora che siamo quasi alla fine dell’articolo mi sembra giusto mostrarti l’esercizio ottimale per risolvere una situazione di tensione muscolare o articolare.
Esercizio premio per problematiche di relazione centrica
Allora, l’esercizio è molto facile: posiziona la lingua sul palato, tienila ben schiacciata sul palato, ottimo.
Adesso devi aprire e chiudere la bocca tenendo la lingua sempre in contatto col palato.
Perfetto! continua a a ripeterlo per 2 minuti ed eseguilo per almeno 5 volte nella giornata.
Questo esercizio è ottimale perchè distende la muscolatura della lingua, la muscolatura masticatoria e stabilizza l’articolazione temporo-mandibolare.
Semplice e geniale!
Vuoi saperne di più su questo argomento? Scrivimi nei commenti o contattami direttamente e vienimi a trovare a Trento o in Trentino Alto-Adige!
Una vita equilibrata
da una sana masticata!


