Lo sviluppo del viso e della testa
La faccia, come il resto del corpo, è soggetta a una progressiva crescita e sviluppo. La crescita facciale è un continuum dalla nascita fino alla fine dei giorni.
Lo so, sembra incredibile, ma noi non smettiamo mai di crescere: il corpo, la faccia e la bocca, ogni secondo continuano a cambiare e non potranno mai essere come quello che erano prima.
Sono stati fatti numerosi studi sui cambiamenti del corpo e del viso, tutti hanno confermato che sia lo scheletro che i tessuti molli sono in continuo cambiamento.
Sì, va bene, prima di procedere ulteriormente facciamo un attimo di chiarezza e partiamo dalle basi.
L’inzio della crescita facciale
La testa inizia a formarsi nella pancia della mamma.
E fino qua nulla di nuovo.
Quando nasciamo, le ossa della testa non sono ancora fuse né hanno raggiunto la dimensione finale. Ci sono le famose fontanelle, ovvero le zone in cui le ossa si uniscono ma non sono ancora unificate da osso, ma separate da tessuto connettivo.
Più si procede con la crescita e più queste ossa vanno incontro ad ossificazione.
Il neurocranio è il primo a completare lo sviluppo. Con neurocranio si intende la parte posteriore della testa, che in ambito medico si distingue dallo splancnocranio che invece rappresenta la parte anteriore della testa (cioè la faccia).
Ma come mai è la prima parte che si completa?
Questo avviene perché la massima produzione di cellule cerebrali si verifica nelle prime fasi di vita. Successivamente, il cervello migliora il dialogo tra le cellule, ma non aumenta il loro numero.
Sembra incredibile, ma dopo i primi mesi di vita si iniziano a perdere cellule nervose, i neuroni, e solo in piccolissima parte si riescono a rimpiazzare.

La triste verità è che già appena nati iniziamo ad invecchiare!
La fortuna è che siamo come il buon vino, più invecchiamo e più diventiamo buoni!
Quindi più passano gli anni e più affiniamo la tecnica, le capacità e l’intelletto. Riusciamo ad utilizzare le cellule presenti (che sono comunque tantissime) per ottenere dei risultati stratosferici!
La faccia, invece, continua a svilupparsi più a lungo, adattandosi alle funzioni che sviluppa nel corso delle diverse fasi della vita. In questo articolo parleremo del meccanismo che sta alla base del corretto sviluppo del viso e della crescita facciale. Se invece vuoi approfondire come funziona lo sviluppo del viso e le sue implicazioni su una buona estetica naturale ti consiglio di leggere questo articolo questo articolo.
Ritornando sulla crescita della faccia è giusto ricordare che, aldilà della fase di gestazione dentro la pancia della mamma, esistono cinque tipologie di sviluppo del viso nelle varie fasi della vita:
- Neonatale
- Prima e seconda infanzia
- Adolescenza
- Adulta
Le funzioni in evoluzione determinano cambiamenti nelle strutture corporee, che si adattano progressivamente al loro utilizzo.
Prima di entrare più nel dettaglio in come funzionano queste varie tipologie di crescita vorrei focalizzarmi su quale sia il meccanismo che da avvio alla crescita.
La crescita dipende dalla genetica o dall’ambiente che circonda chi sta crescendo? Hai mai notato che alcuni neonati sono molto simili ai loro genitori?
Sicuramente la genetica, cioè l’informazione che contenuta all’interno del DNA è determinante che definire alcune caratteristiche tipiche della famiglia.
Ecco però non è l’unica attrice dello sviluppo! Esiste un altro determinante fondamentale per lo sviluppo della persona e per la crescita facciale (e non): l’ambiente!
Scontato! Penserai, sicuramente l’esperienza ci insegna che l’ambiente è importante da tenere in considerazione, ma sempre di più il suo ruolo è determinante per ottenere una crescita più efficace.
Continua a leggere per capire come è possibile.
Genetica o funzione: cosa influenza di più lo sviluppo facciale?
Faccio una piccola premessa: parlare solamente di ambiente può risultare fuorviante, in quanto esistono numerosi fattori su cui per noi è impossibile agire. Gli studi hanno dimostrato che tra tutte le caratteristiche dell’ambiente, la funzione del corpo, del viso e della bocca risulta essere quella più facilmente influenzabile (sia in senso buono che in senso negativo).
La nostra fisionomia facciale dipende non solo dalla genetica, ma anche dalla funzione. La funzione con cui cresciamo è spesso quella che manteniamo per tutta la vita: manteniamo la nostra fisionomia facciale più per la nostra funzione che per la nostra genetica.
La biologia moderna sottolinea sempre più il ruolo della componente ambientale accanto alla genetica. Questo fattore, chiamato epigenetica, dimostra che molecole esterne al DNA possono attivare o disattivare specifiche sequenze genetiche.

Cosa significa questo?
Possiamo influenzare l’espressione del DNA attraverso elementi esterni come la funzione. Ciò che sembrava impossibile fino a pochi anni fa è oggi una realtà consolidata.
Pensi che ti abbia dato troppe informazioni?
Allora facciamo un pò di ordine.
L’ambiente è un fattore determinante nell’influenzare la genetica e l’espressione genetica. Esiste una disciplina della genetica che si occupa solamente di studiare il rapporto tra genetica e ambiente. Questa disciplina si chiama: EPIGENETICA.
Come funziona l’epigentica?
L’epigenetica studia come in base alle stimolazioni esterne al DNA, alcune specifiche proteine e molecole si relazionino con il DNA andando a favorire l’espressione o meno di specifiche sequenze di codice genetico, permettendo di manifestare alcune specifche caratteristiche.
Sia chiaro, questo non vale per tutte le caratteristiche, alcune sono solamente dipendenti dalla genetica e qualsiasi azione ambientale non può creare alcun tipo di modifica.
Ma esistono altre caratteristiche che invece sono strettamente legate al rapporto del corpo con l’ambiente e la faccia ne è un esempio.
La faccia è stata descritta come un mosaico epigenetico.
Come mai?
Diciamo che le manifestazioni dell’ambiente sul DNA arrivano ad esprimersi principalmente attraverso la funzione del corpo.
Sembra una presa in giro, ma il modo in cui funzioniamo determina come cresceranno e si svilupperanno le varie strutture del corpo, la faccia, col fatto che è molto esposta all’esterno e che determina le funzioni fondamentali dell’individuo subisce più delle altre strutture del corpo le influenze di una funzione specifica.
Lo sviluppo facciale e l’ortodonzia
Anche in ortodonzia, lo sviluppo della bocca e del viso è il risultato di una combinazione tra genetica e funzione. Guarda questo reel per saperne di più.
Come avrai notato ci sono diverse possibilità che si possono manifestare all’interno della bocca e dell’individuo. Le possiamo riassumere rapidamente come qua sotto:
- Genetica favorevole + funzione corretta → Risultati ottimali con poco sforzo.
- Genetica sfavorevole + funzione scorretta → Problemi difficili da risolvere.
- Genetica sfavorevole + funzione corretta → Miglioramento significativo e riduzione dei rischi di malocclusioni o altri problemi.
Perché lavorare sulla funzione è fondamentale?
Intervenire precocemente sulla funzione facciale può migliorare significativamente lo sviluppo del viso, anche in presenza di una genetica non ottimale.
Benissimo! Hai tenuto il filo fino a questo punto! Ottimo!
Adesso ti è chiaro come funziona lo sviluppo del corpo e in particolare maniera del viso! Come scritto in altri articoli, la funzione del corpo diventa padrona del corretto sviluppo. Nella bocca e nel viso questo concetto è ancora più presente!
La masticazione rappresenta un’occasione unica per fare conoscere al nostro corpo il corretto significato della parola sviluppo!
Leggi il prossimo paragrafo per capire come mai!
La regola d’oro: masticare!
La masticazione è l’unica funzione completamente volontaria della faccia, non solo aumentando l’attività masticazione si migliora anche l”attività respiratoria e deglutitoria, che sono azioni che compiamo ogni singolo minuto della nostra esistenza.
Il modo in cui eseguiamo queste funzioni determina il come cresceranno le nostre strutture facciali (o come si manteranno, se siamo già sviluppati).
Masticando correttamente cibi duri, su entrambi i lati della bocca per almeno venti masticate ogni boccone diamo gli stimoli al corpo di respirare dal naso (perchè la bocca è occupata a masticare) e a deglutire nel modo corretto (il naso bello largo mi determina un palato largo e quindi la lingua ha tutto lo spazio per potersi appoggiare sul palato).
Il corretto sviluppo della bocca, della faccia e del corpo passa da una corretta masticazione. Leggi questo articolo per capire quanto il cervello è influenzato dalla bocca.
Inoltre più mastichiamo cibi duri e più stimoliamo la crescita e il mantenimento delle strutture ossee e muscolari del viso.
Siamo arrivati ad aggiungere tanti tasselli al puzzle che stiamo costruendo!
Mi piacerebbe andare ad indagare un pochino meglio i diversi aspetti della crescita del viso e soprattutto le diverse fasi!

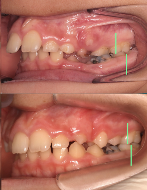
Prima ti vorrei fare vedere un caso clinico in cui si mostra la bocca di un paziente con un’alterazione della funzione della lingua e della respirazione.
Dopo riabilitazione attraverso un apparecchio miofunzionale, ho modificato la funzione della bocca del bambino e nel giro di pochi mesi, complice la crescita di nuovi denti, si è completamente rivoluzionata la disposizione dei denti.
Più precisamente i denti posteriori, i molari, sono passati da una condizione di malocclusione di II classe ad una situazione di I classe.
In aggiunta a questo, il piano masticatorio si è orizzontalizzato: non è più inclinato come era nella prima foto!
Questo caso, come molti altri, ci dimostra che una condizione di malocclusione (che ha una componente genetica significativa) può essere corretta senza stressare i denti in posizioni scomode e poco gradite! Ma si può correggere attraverso un cambiamento della funzione della bocca, che in maniera “naturale” corregge la discrepanza dentale (in alcuni casi anche scheletrica.
Perfetto! Direi che adesso è ben chiaro la differenza di ruolo che ha la genetica rispetto all’ambiente nel determinare la crescita di bocca, faccia e corpo! Più che altro abbiamo la possibilità di modificare la crescita del corpo nella direzione in cui riteniamo sia possibile, solamente migliorando la funzione.
Basti pensare che molti anni fa l’apparecchi ortodontico non esisteva, ma neanche le malocclusioni. Infatti sono un derivato della nostra società in cui mastichiamo sempre meno, respiriamo dalla bocca e deglutiamo quindi nel modo sbagliato.
Il percorso è facile, bisogna modificare la funzione per migliorare lo sviluppo e il mantenimento del corpo.
Le tipologie di sviluppo del viso (e del corpo)
Mi piacerebbe mostrarti, come ultima cosa come funzionano le varie tipologie di sviluppo del viso! Soprattutto come sono legate alla funzione (e quindi all’epigenetica).
Lo sviluppo neonatale avviene durante i primi mesi di vita, in questa fase di crescita le ossa mascellari sono molto piccole, e grazie agli stimoli funzionali riescono a crescere di dimensioni.
Ma da cosa sono determinati gli stimoli funzionali?
Il primo e più importante è la respirazione dal naso, fondamentale che si mantengano le labbra chiuse al neonato per garantire il flusso d’aria dal naso e non dalla bocca. A questo si aggiunge la deglutizione, che però in questo momento, è diversa da quella dell’adulto: mancnado i denti, la lingua spinge tra le labbra per fare in modo che il latte possa defluire correttamente nell’apparato digerente.
Durante la prima e la seconda infanzia invece oltre alla respirazione dal naso, che deve diventare ormai un caposaldo per la vita, si aggiunge la masticazione e la deglutizione.
La masticazione, da cominciare ad eseguire appena escono i primi dentini da latte, è fondamentale che venga eseguita su entrambi i lati della bocca, per stimolare la crescita il più simmetrica possibile della faccia. A questa si somma la deglutizione che dovrà essere eseguita spingendo sul palato.
La corretta esecuzione di queste azioni permette il corretto sviluppo della bocca e del viso.
Vuoi sapere come crescono i denti da latte? Leggi questo articolo!
Nella fase di adolescenza e dell’adulto si mantengono queste funzioni, si stabilizzano le strutture scheletriche e vengono mantenute nel tempo.
Fondamentale è che si mantengnao nel tempo queste funzioni corrette, in questa maniera il corpo, il viso e la bocca si potranno mantenere stabili negli anni. Com mai?
Le ossa ogni 10 anni rinnovano completamente le cellule e i tessuti che le compongono.
Se quindi si manifesta una funzione sbagliata, che si insedia e si stabilizza anche dopo la fine dello sviluppo canonico, la forma del viso può cambiare da quella che c’era inizialmente!
Vero, sembra incredibile, però è così. Numerosi studi hanno dimostrato che il viso degli anziani è soggetto ad un continuo cambiamento dovuto alla funzione, che solitamente diventa sempre meno efficiente più avanza l’età.
Vuoi un riassunto di questo lungo articolo?
Guarda queste immagini!
Una vita equilibrata
da una sana masticata!


