Se stai considerando un trattamento ortodontico per tu* figli*, l’apparecchio ortodontico miofunzionale potrebbe essere la soluzione ideale per te. Questo innovativo strumento non solo si occupa di allineare i denti, ma svolge anche un ruolo fondamentale nel correggere malocclusioni, migliorare il profilo facciale e lo sviluppo osseo.
La sua capacità di agire su funzioni orali e muscolari lo distingue dagli apparecchi tradizionali, offrendo vantaggi unici e risultati straordinari.
In questa guida completa, esploreremo tutti i benefici dell’apparecchio ortodontico miofunzionale, dal comfort all’efficacia, fino a risultati tangibili che possono trasformare il tuo sorriso e la tua vita. Vedremo un caso clinico con cui ti potrò spiegare i reali benefici dell’apparecchio, o meglio i reali benefici di una correzione della funzione della bocca, rispetto alla correzione della semplice posizione dentale.
Scopri come questo dispositivo può fare la differenza nella salute orale di tu* figli* e portarti verso un futuro di fiducia e benessere. Pronti a svelare i segreti di questa straordinaria metodologia? Iniziamo!
Introduzione all’apparecchio ortodontico miofunzionale
Se stai valutando le proposte di un trattamento ortodontico, potresti esserti imbattuto nell’apparecchio ortodontico miofunzionale. Questa innovativa tecnologia ortodontica ha rivoluzionato il modo in cui affrontiamo problemi di allineamento dentale, le malocclusioni e le discrepanze ossee.
Ma cos’è esattamente un apparecchio ortodontico miofunzionale e in che modo differisce dagli apparecchi tradizionali?
In questa guida, esploreremo le caratteristiche, i vantaggi e i risultati straordinari che questo dispositivo può offrire.
L’apparecchio ortodontico miofunzionale è progettato per migliorare non solo l’allineamento dei denti, ma anche le funzioni orali e muscolari. Come abbiamo visto nell’articolo qui, lavorare su queste funzioni permette di ottenere un significativo miglioramento anche della componente scheltrica, migliorando lo sviluppo generale del viso.
Questo significa che, oltre a creare un sorriso più armonioso, può anche aiutare a correggere problemi di masticazione, respirazione e deglutizione. Considerato il suo approccio olistico, non sorprende che sia diventato una scelta popolare tra ortodontisti e pazienti.

Infatti correggere queste problematiche solitamente si associa ad un miglioramento della funzionalità del corpo, della postura e dello sviluppo in generale. Guarda questo reel per saperne di più.
Questo blog ti guiderà attraverso tutto ciò che devi sapere sull’apparecchio ortodontico miofunzionale, dai diversi tipi disponibili ai vantaggi specifici, ai risultati che puoi aspettarti dal trattamento. Se sei pronto a scoprire un modo innovativo per migliorare la tua salute orale e il tuo benessere generale, continua a leggere.
Cos’è un apparecchio ortodontico miofunzionale?
Un apparecchio ortodontico miofunzionale è un dispositivo utilizzato in ortodonzia per correggere malocclusioni e problemi di allineamento dentale, agendo sulle funzioni muscolari e orali. A differenza degli apparecchi tradizionali che si concentrano esclusivamente sui denti, gli apparecchi miofunzionali lavorano sulla posizione della lingua, sulla respirazione e sulla forza muscolare della bocca.
Lavorare su queste strutture permette di ottenere un risultato più armonico, funzionalmente efficace e stabile negli anni.
Questi dispositivi sono generalmente realizzati in silicone biomedicale, il che li rende flessibili e confortevoli da indossare. Sono progettati per essere utilizzati principalmente durante la notte, ma alcuni tipi possono essere indossati anche durante il giorno.
Dopo ne parliamo in maniera più approfondita! Prima però dobbiamo esplorare altri argomenti.
L’obiettivo principale è quello di rieducare i muscoli orali e migliorare le abitudini funzionali, come la deglutizione e la respirazione nasale.
Il principio alla base degli apparecchi miofunzionali è che migliorare la funzione muscolare può portare a un allineamento dentale più naturale e stabile. Questo approccio olistico non solo migliora l’aspetto del sorriso, ma ha anche benefici a lungo termine per la salute orale e generale del paziente.
I diversi tipi di apparecchio ortodontico miofunzionale
Esistono diversi tipi di apparecchi miofunzionali, ognuno progettato per affrontare specifiche esigenze ortodontiche e funzionali. Alcuni dei più comuni includono dispositivi di espansione, apparecchi di mantenimento e dispositivi di avanzamento mandibolare. Ogni tipo ha caratteristiche uniche che lo rendono adatto a particolari situazioni cliniche.
Gli apparecchi di espansione sono utilizzati principalmente per allargare l’arcata dentale superiore, creando più spazio per i denti che stanno emergendo. Questi dispositivi sono spesso utilizzati nei bambini, poiché possono influenzare la crescita ossea e migliorare l’allineamento dentale futuro.
Gli apparecchi di mantenimento, d’altra parte, sono progettati per mantenere i denti nella loro posizione corretta dopo che un trattamento ortodontico attivo è stato completato.
I dispositivi di avanzamento mandibolare sono utilizzati per correggere le mandibole arretrate e migliorare la posizione della mandibola.
Ogni tipo di apparecchio miofunzionale offre benefici specifici, quello che consiglio di utilizzare riesce a correggere tutte queste problematiche a livello del paziente. L’unica richiesta che viene fatta è di portare l’apparecchio.
Come anticipato precedentemente l’apparecchio ortodontico miofunzionale viene indossato principalmente di notte, perché la notte è il momento in cui viene liberato l’ormone della crescita, che stimola la crescita delle varie zone del corpo.
Per questo motivo è fondamentale dormire!! Se non si dorme, il corpo non libera l’ormone della crescita e non ci si sviluppa.
Vantaggi dell’apparecchio ortodontico miofunzionale
Uno dei principali vantaggi dell’apparecchio ortodontico miofunzionale è la sua capacità di trattare le cause sottostanti dei problemi di allineamento dentale, piuttosto che semplicemente i sintomi. Questo approccio porta a risultati più stabili e duraturi.
Ad esempio, migliorando la funzione muscolare e la postura della lingua, è possibile evitare il rischio di recidive dopo il completamento del trattamento.
Il grosso limite dell’ortodonzia meccanicista è la recidiva dovuta ad un’alterata funzione della lingua. A distanza di anni i denti si spostano, solamente per la quotidiana spinta della lingua nella maniera sbagliata.
Un altro vantaggio significativo è il miglioramento della salute orale complessiva. Gli apparecchi ortodontici miofunzionali possono aiutare a correggere problemi di respirazione, come la respirazione orale, che può portare a secchezza della bocca e aumentare il rischio di carie e malattie gengivali. Se vuoi saperne le motivazioni ti consiglio di leggere questo articolo.
Inoltre, migliorare la deglutizione e la masticazione può avere effetti positivi sulla digestione e sulla salute generale.
Infine, l’apparecchio ortodontico miofunzionale è spesso più confortevole rispetto agli apparecchi tradizionali. Si progetta per essere indossato principalmente di notte, riducendo al minimo l’impatto sulla vita quotidiana del paziente.
Inoltre, i materiali utilizzati sono più morbidi e meno irritanti per i tessuti orali, migliorando l’esperienza complessiva del trattamento.
Non sei ancora convinto che questa tipologia di trattamento sia valida per la salute di tu* figli*? Leggi come funziona!

Come funziona l’apparecchio ortodontico miofunzionale?
Il funzionamento di un apparecchio ortodontico miofunzionale si basa sulla rieducazione dei muscoli orali e sulla correzione delle abitudini funzionali scorrette. Questi dispositivi lavorano in modo passivo e attivo: passivamente, agiscono come una guida per i denti e la mandibola, mantenendoli nella posizione corretta; attivamente, stimolano i muscoli a lavorare in modo corretto.
Quello che mi piace di questo apparecchio è che lavora attivamente sulla muscolatura, che determina il cambiamento di posizione di ossa e denti. Infatti spesso ce lo dimentichiamo, ma la posizione della dentatura è determinata dall’equilibrio di forze tra lingua, labbra e guance. Guarda questo reel per saperne di più.
Durante l’uso dell’apparecchio, il paziente è incoraggiato a eseguire esercizi specifici che aiutano a rafforzare i muscoli della bocca e della lingua. Questi esercizi possono includere movimenti di deglutizione corretti, esercizi di respirazione nasale e pratiche di masticazione che promuovono un corretto allineamento dentale. Questo approccio a doppio binario assicura che i denti non solo si spostino nella posizione desiderata, ma che rimangano lì grazie alla funzione muscolare migliorata.
Gli apparecchi ortodontici miofunzionali sono progettati per essere utilizzati per un periodo specifico, che varia a seconda delle esigenze individuali del paziente. La combinazione di utilizzo notturno e esercizi giornalieri consente di ottenere risultati efficaci e duraturi, migliorando sia l’aspetto del sorriso che la salute orale e generale.
Solitamente consiglio di indossarli per almeno un anno, infatti 12 mesi è stato visto essere il tempo necessario per modificare la funzione della bocca e mantenerla stabile negli anni a venire. Per ottenere un risultato più performante dopo i dodici mesi di apparecchio indossato tutte le notti, continuo il trattamento facendolo indossare solamente a giorni alterni.
Indicazioni per l’uso dell’apparecchio ortodontico miofunzionale
L’uso di un apparecchio ortodontico miofunzionale è indicato in una varietà di situazioni cliniche. L’indicazione quasi assoluta è per i bambini in crescita, poiché influenza positivamente lo sviluppo delle mascelle e dei denti, lavorando sul miglioramento della funzione di bocca, naso e lingua.
In alcuni casi anche gli adulti possono trarre beneficio da questo tipo di trattamento, specialmente se hanno problemi di disfunzioni muscolari orali, prima fra tutte la deglutizione atipica.
I pazienti con abitudini orali scorrette, come la respirazione orale, la deglutizione atipica e la spinta linguale, sono candidati ideali per l’uso di apparecchio ortodontico miofunzionale. Correggere queste abitudini può prevenire problemi dentali futuri e migliorare la salute generale.
Inoltre, chi soffre di disturbi temporo-mandibolari (TMD) o apnea notturna può trovare sollievo attraverso l’uso di questi dispositivi, che aiutano a riabilitare correttamente la funzione linguale, rinforzare la muscolatura masticatoria e rendere più stabile l’articolazione temporo-mandibolare.
Per valutare se tu* figli* può beneficiare di questa tipologia di apparecchio è necessario eseguire una visita e uno studio del caso.
Sulla base di queste valutazioni potrà essere eseguita una diagnosi accurata e la pianificazione del trattamento personalizzato con l’obiettivo di garantire il successo del trattamento e ottenere i migliori risultati possibili per la bocca, per la faccia e per tutto il corpo.
Risultati attesi e tempistiche del trattamento
I risultati del trattamento con apparecchio ortodontico miofunzionale possono variare a seconda delle esigenze individuali del paziente, ma generalmente includono un miglioramento significativo dell’allineamento dentale, della funzione muscolare e della salute orale complessiva.
I pazienti possono aspettarsi di vedere un sorriso più armonioso, una masticazione più efficace e una respirazione migliorata.
La tempistica del trattamento può variare, ma in molti casi, i pazienti iniziano a vedere risultati visibili già dopo pochi mesi di utilizzo regolare.
Importante è notare che il trattamento miofunzionale richiede impegno e costanza.
L’uso quotidiano dell’apparecchio e la pratica regolare degli esercizi sono essenziali per ottenere risultati ottimali. In generale, il trattamento può durare da sei mesi a due anni, a seconda della complessità del caso e dello stadio di crescita del paziente.
Durante questo periodo verrano monitorati i progressi e apportati eventuali aggiustamenti al piano di trattamento per garantire che si stiano ottenendo i migliori risultati possibili.
La collaborazione tra paziente e ortodontista è fondamentale per il successo del trattamento e per garantire che i risultati siano duraturi.
Se sei rimasto con me fino ad adesso allora ti meriti un esempio di come funziona questo dispositivo!
Caso clinico con apparecchio ortodontico miofunzionale
Prima di proseguire con l’articolo mi piacerebbe farvi vedere un caso clinico che sto trattando con l’apparecchio ortodontico miofunzionale.

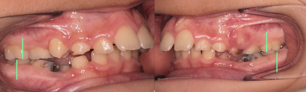
Il paziente si presenta alla mia osservazione con un rapporto di seconda classe (dove la mandibola è più indietro della mascella) che si manifesta con il molare superiore più avanti del molare inferiore (per farti capire meglio: le righe verdi dovrebbero essere allineate, quindi il molare superiore più avanti o quello sopra più indietro).
Sono presenti inoltre delle carie (sui denti da latte), che abbiamo deciso di non curare perché non c’era dolore, sarebbero caduti nel giro di qualche mese e il paziente non era troppo collaborante!)
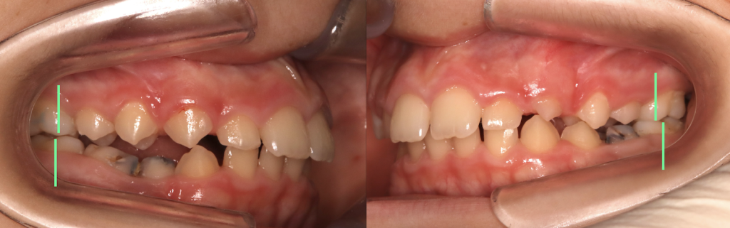
Consegniamo l’apparecchio ortodontico miofunzionale con indicazione di portarlo qualche ora durante il giorno per le prime due settimane (per abituarsi a tenerlo senza perderlo tutta la notta) e tutta la notte. Ecco i risultati dopo 3 mesi di apparecchio.

Due cose mi piaccionon molto di questo caso:
1. I molari e la classe sono quasi perfetti
2. Il piano masticatorio è piatto
Prima di iniziare il trattamento i denti posteriori si incurvavano in una maniera poco armonica e funzionale. Dopo soltanto tre mesi di apparecchio, è migliorata la funzione masticatoria, deglutitoria e respiratoria. Ma l’effetto che si vede è un miglioramento della posizione della dentatura e delle ossa.
Non posso che essere orgoglioso di un caso del genere! Sono riuscito a migliorare il pattern di crescita della mandibola, che è una delle situazioni più difficili da migliorare. E questo è stato fatto non lavorando meccanicamente sullo spostamento dentale, ma passivamente solo attraverso il cambio di funzione orale.
Adesso devo solamente aspettare che cadano i denti da latte, nel frattempo il paziente continuerà a portare l’apparecchio per garantire il mantenimento della posizione ossea e guidare la corretta eruzione dei denti permanenti.
Manutenzione e cura dell’apparecchio miofunzionale
La manutenzione e la cura dell’apparecchio ortodontico miofunzionale sono essenziali per garantire la sua efficacia e durata. Pulire l’apparecchio regolarmente è fondamentale per prevenire l’accumulo di placca e batteri, che possono causare problemi di salute orale. È consigliabile utilizzare uno spazzolino morbido e un sapone neutro per pulire l’apparecchio ogni giorno, evitando l’uso di dentifrici abrasivi che possono danneggiare il materiale.
Quando non in uso, l’apparecchio dovrebbe essere conservato in un contenitore apposito, preferibilmente ventilato, per evitare la proliferazione di batteri. Inoltre, è importante controllare l’apparecchio regolarmente per assicurarsi che non ci siano danni o usura eccessiva. Questa è una procedura che eseguo io ad ogni controllo, ma se lo fai anche tu, possiamo prevenire sul nascere eventuali problemi!
Seguire le istruzioni che ti fornisco il giorno della consegna dell’apparecchio ortodontico miofunzionale si per quanto riguarda l’uso che la manutenzione dell’apparecchio: è determinante per il successo del trattamento. Una corretta cura dell’apparecchio non solo garantisce la sua efficacia, ma contribuisce anche alla salute orale complessiva, prevenendo problemi come le infezioni e le carie.
Conclusioni e raccomandazioni finali
L’apparecchio ortodontico miofunzionale rappresenta una soluzione innovativa e efficace per affrontare problemi di allineamento dentale e malocclusioni, migliorando al contempo la funzione muscolare e la salute orale generale. Rispetto all’apparecchio ortodontico tradizionale, questo strumento permette di lavorare sulla corretta posizione dei denti e delle ossa migliorando la funzione della bocca e del viso in generale.
Grazie al suo approccio alternativo, questo dispositivo non solo corregge i denti, ma contribuisce a migliorare la respirazione, la deglutizione e la masticazione.
Migliorando la funzionalitòà e l’equilibrio del viso, determina anche un miglioramento della postura! Perché come evidenziato in questo articolo, la bocca è direttamente collegata alla muscolatura del resto del corpo.
Se stai considerando un trattamento ortodontico per tu* figli*, è importante consultare un ortodontista qualificato per determinare se un apparecchio miofunzionale sia la scelta giusta per loro.
Una diagnosi accurata e un piano di trattamento personalizzato sono essenziali per ottenere i migliori risultati. Una volta iniziato il trattamento con l’impegno e il corretto utilizzo dell’apparecchio e monitorando i progressi e apportando eventuali aggiustamenti necessari, si raggiunge il trattamento desiderato.
In conclusione, l’apparecchio ortodontico miofunzionale offre vantaggi unici e risultati straordinari che possono trasformare il sorriso, lo sviluppo e la vita. Con un impegno costante e la collaborazione del paziente, si può raggiungere una salute orale ottimale, un sorriso più armonioso e uno sviluppo migliore del corpo.
In aggiunta a questo il miglioramento della funzione della bocca e del viso si associa anche a un miglioramento di tutto il corpo, in particolare maniera del cervello.
Se vuoi saperne il motivo leggi questo articolo che parla dell’origine antropologica dell’uomo e di come la bocca e il cervello sono così ben collegati!
Se sei pronto a intraprendere questo percorso per tu* figli* o se ne vuoi sapere di più, contattami per scoprire come questa tecnologia innovativa può fare la differenza nella tua vita quotidiana.
Una vita equilibrata
da una sana masticata!


